Rahim Kanserli Hastalar Nasıl Tedavi Edilir?
Rahim kanserli hastaların büyük çoğunluğu klinik olarak rahime sınırlı hastalık ile başvururlar. Fizik muayene, tam kan sayımı ve biyokimyayı içeren rutin kan tetkikleri ve akciğer filmi ameliyat önce...
Prof. Dr. M. Murat NAKİ
Rahim kanserli hastaların büyük çoğunluğu klinik olarak rahime sınırlı hastalık ile başvururlar. Fizik muayene, tam kan sayımı ve biyokimyayı içeren rutin kan tetkikleri ve akciğer filmi ameliyat önce...
Rahim kanseri olan menopoz sonrası kadınların %90'ı vajinal kanama ile doktora başvurur. Ancak, menopoz sonrası kanama ile başvuran hastaların %15'inde endometrial kanser tespit edilir. Vajina ve rah...
Rahim kanserlerinin büyük çoğunluğu rahim iç yüzünü örten endometrium denen tabakanın kalınlaşması ve takiben kanser gelişimine yol açan rahimin aşırı miktarda östrojen ile uyarılması sonrası oluşmakt...
Rahim kanseri en sık görülen jinekolojik kanserdir. Amerika Birleşik Devletleri’nde her yıl yaklaşık 40.000 kadın rahim kanseri tanısı alır ve yine her yıl için 7000'den fazla kadının ölümünden sorum...
Tıbbi olarak sağlıklı, şüpheli yumurtalık kitlesi olan hastalarda ameliyatla değerlendirme yapmak gereklidir. Kabul edilebilir büyüklükteki kitlelerde (genellikle 8-10 cm ve daha küçük), karın içinde...
İlgili belirtilerin ve daha önce belirtilen risk faktörlerinin sorgulanmasını içeren bir hikaye alınır ve genel fizik muayene yapılır. Yumurtalık kanseri ile ilgili genel fizik muayene bulguları, akc...
Yumurtalık kanserinin başlangıcı sinsidir, tanı esnasında yumurtalıklara sınırlı hastalık varlığı yalnızca %25 olgudadır. Belli belirsiz olmakla birlikte karında rahatsızlık ve şişkinlik, hazımsızlık...
Üreme, davranışsal ve genetik faktörlerin kansere dönüşümü etkiledikleri görülmektedir. Primer üreme ile ilgili risk faktörü doğum yapmamış olmaktır. Tek bir doğumla sonuçlanan gebelik bile yumurtalık...
Yumurtalıkta gelişen iyi ve kötü huylu tümöral kitleler kadınların %5 ila 7'sinde görülmektedir. A.B.D’de aşağı yukarı her 70 kadından birinde hayatları boyunca yumurtalık kanseri ortaya çıkmaktadır. ...
Yumurtalık Kanserinin Sıklığı Ne Kadardır?Yumurtalıkta gelişen iyi ve kötü huylu tümöral kitleler kadınların %5 ila 7'sinde görülmektedir. A.B.D’de aşağı yukarı her 70 kadından birinde hayatları boyun...
Endometrial Kanserin Sıklığı Nedir?Rahim kanseri en sık görülen jinekolojik kanserdir. Amerika Birleşik Devletleri’nde her yıl yaklaşık 40.000 kadın rahim kanseri tanısı alır ve yine her yıl için 700...
Granüloza Hücreli Tümörler Nedir ve Neden Ortaya Çıkmaktadır?Granüloza Hücreli tümörler östrojen üreten tümörlerdir. Büyük çoğunluğu iyi huyludur. Granüloza hücreli tümörlerin oluşumunda spesifik bir...
Seröz kistadenokarsinoma yumurtalığın en sık görülen kötü huylu tümörüdür. Kadınlarda görülen kanserlerin yaklaşık %6'sını oluşturmaktadır. Bununla birlikte, geç tanı konması ve yüksek risk grupların...
Diğer bir deyişle olgunlaşmamış teratomlar olarak bilinen bu kistler grade 1, 2 veya 3 olarak sınıflandırılırlar. Bu tümörlerin içi sıklıkla doludur, arada kistik alanlar içerebilir ve patolojik olar...
Struma Ovarii Nedir ve Neden oluşur?Struma ovarii tiroid dokusunun diğer elemanlardan fazla geliştiği ve baskın doku olduğu bir teratomdur. Yumurtalıkta tiroid dokusunun tümör benzeri büyümesidir, %2-...
İyi huylu kistik teratom yumurtalığın germ hücrelerinden gelişen yavaş büyüyen bir tümördür. Teratomun boyutları birkaç milimetreden 25 cm çapa kadar değişebilir. Çoğu teratom 10 cm'den küçüktür ve t...
Fibroma, yumurtalıkta nodüller şeklinde ortaya çıkan bir içi dolu iyi huylu tümördür. Diğer birçok içi dolu yumurtalık tümörünün aksine fibroma hormon üretimiyle ilişkili değildir. Bazı olgularda, ki...
BRENNER HÜCRELİ TÜMÖRYumurtalığın en sık görülen iyi huylu içi dokuyla dolu (kistik olmayan) tümörüdür. Son yıllara kadar iyi huylu bir tümör olduğu düşünülmekteydi. Son yıllarda kötü huylu Brenner tü...
Endometriomalar, rahim iç duvarına benzer tipte bezlerin bulunabildiği iyi huylu, bir yumurtalık kistidir. Bu hastalarda genellikle karın içinin diğer bölgelerinde de endometriozis denen benzer hastal...
Müsinöz Kistadenoma Nedir ve Neden Oluşur?Müsinöz kistadenomalar yapışkan, kalın jelatin bir materyalle doludurlar. Seröz kistadenomalara benzer şekilde müsinöz tümörler epitel hücrelerinin (çölemik ...
Seröz Kistadenoma Nedir?Seröz kistadenoma tüm yaşlarda yumurtalıkların en sık iyi huylu tümörüdür. Fizyolojik kistlerdekinin aksine, bu tümörler kötü huylu dönüşüm potansiyeline sahiptirler. %15 kad...
Luteoma Nedir ve Neden Oluşurlar?Luteomalar gebelikte yumurtalıktaki bazı hücrelerin sık görülen aşırı büyümesidir .Teka lutein kistlerine benzer bir durumdur. Luteoma gebelik hormonlarına yumurtalık...
Teka Lutein Kisti Nedir ve Neden Oluşur?Teka lutein kistleri yumurtalıkları ılımlıdan çok büyüğe kadar büyüten fizyolojik yumurtalık kistleridir. Genellikle yumurtalıkların hormonlar tarafından çok uy...
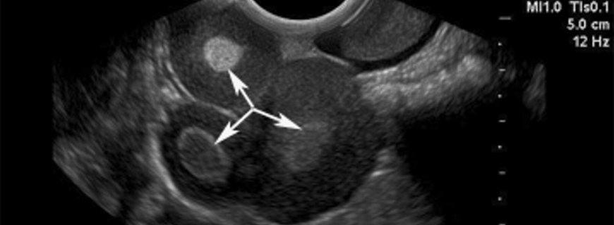
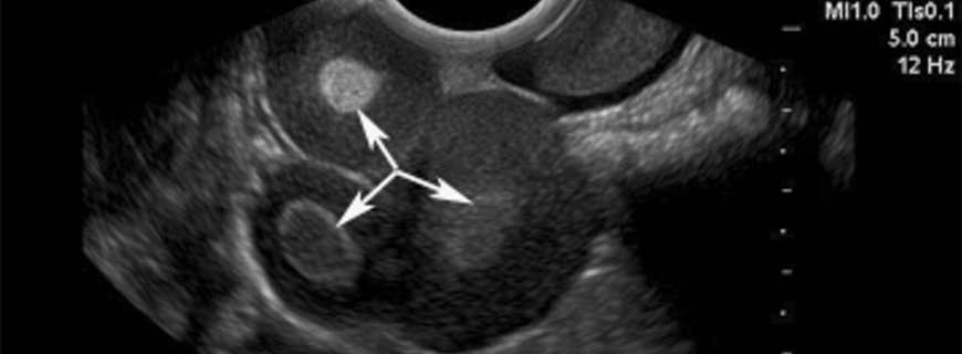
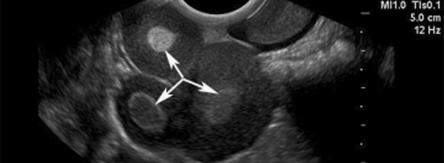
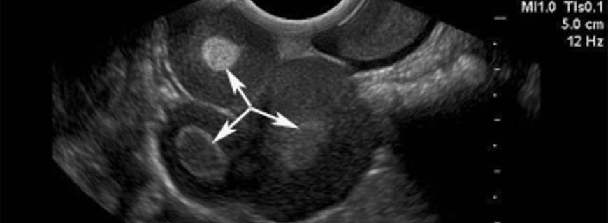
Korpus Luteum Kisti Nedir?Normal bir folliküler kist yumurtalık follikülü açığa çıkardığında sonuçta oluşan yapıya korpus luteum kisti denir. Çoğu korpus luteum kisti kendiliğinden kaybolur. Bazen k...
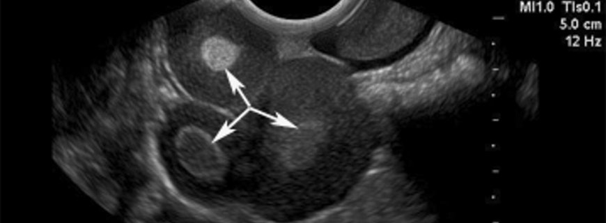
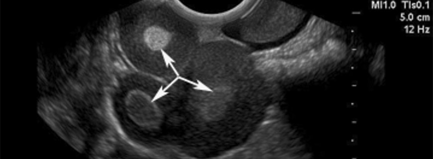
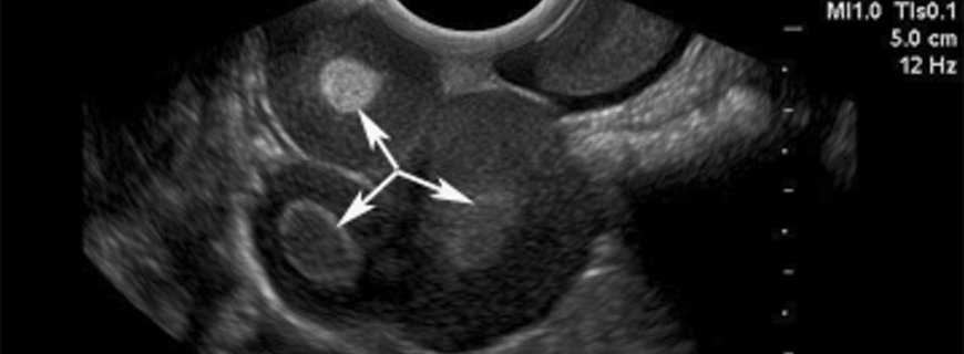
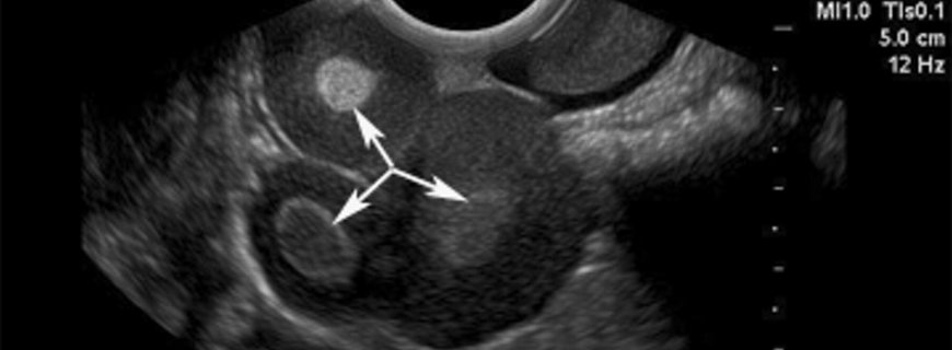
Folliküler Kist Nedir ve Neden Oluşur?Folliküler kist yumurtalık dokusunda bulunan fizyolojik bir yumurtalık kistidir. Yumurtalık yüzeyinde bir köpük gibi görünen, berrak ya da saman sarısı renginde s...
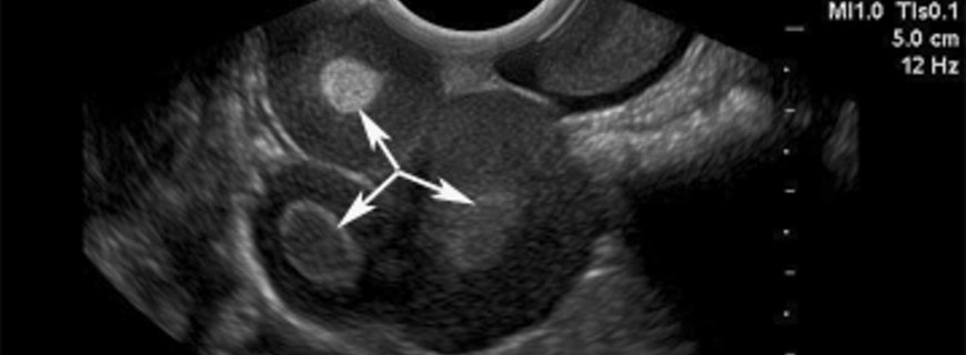
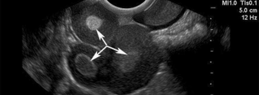
Yumurtalık kistleri yumurtalığın içinde ya da yüzeyindeki sıvı ile dolu keselerdir. Çoğu yumurtalık kisti fizyolojiktir ve genellikle belirtisiz seyreder. En sık görülen fizyolojik kistler folliküler...
Normal düzenli vajinal kanama nasıl oluşur?Düzenli kanama düzenli yumurtlamanın sonucudur. Adet döngüsü; birçok kadında önceden tahmin edilebilirdir ki, onlar yıllar boyu belli bir karakteristik kanam...
Meme kanserinin nedeni nedir?Meme kanserinin ana nedeni bilinmiyor. Meme kanserinin gelişmesinde riskleri arttıran birçok faktör vardır. Bunlar arasında ileri yaş, proliferatif meme hastalıkları, di...
Memenin iyi huylu değişiklikleri nelerdir?Bir meme kitlesi ya da duyarlılığının nedeni, patolojik tanı belirlenmeden, söylenemez. İyi huylu değişiklikleri kötü huylulardan ayırmakta, öykü önemlidir....